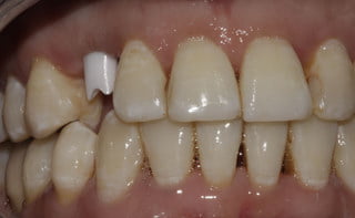
Pilares de circonio prefabricados
Este tipo de pilares son ideales cuando la angulación es moderada o nula, la emergencia ideal y la oclusión lo permite calculando que necesitamos el espacio para la corona final sin reducir en exceso para ello el pilar.
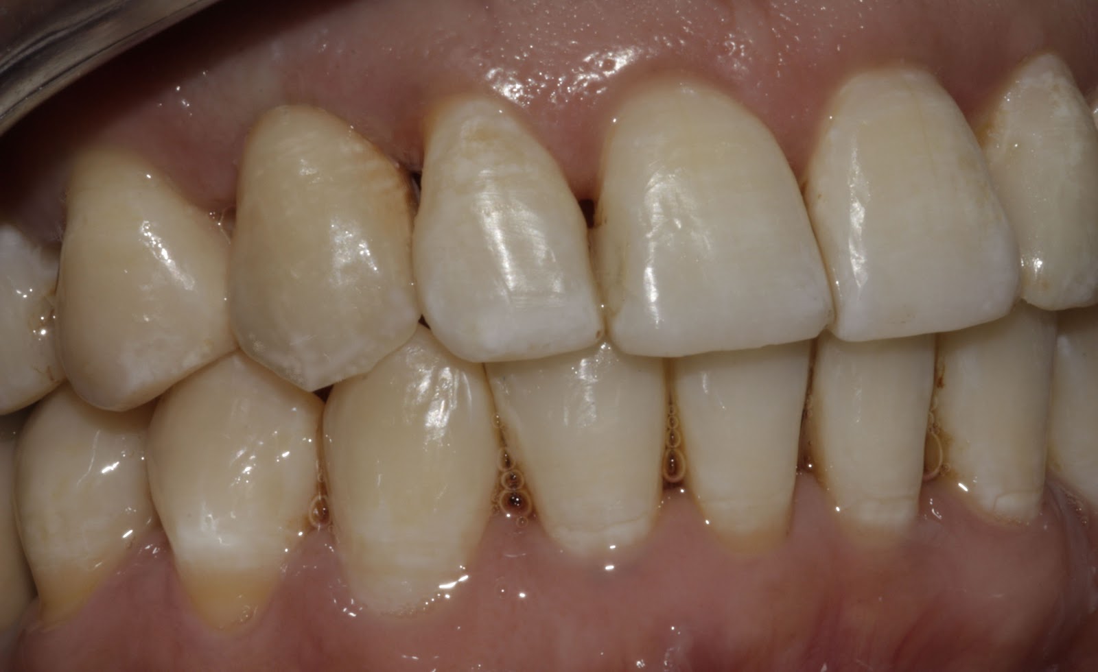
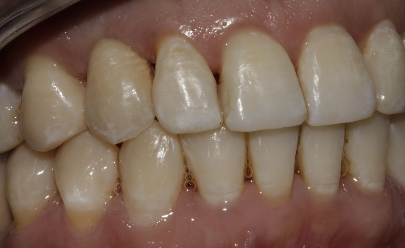
Todas las firmas de implantes tienen en sus catálogos diversidad de tamaños y angulaciones pero es difícil saber cuál es el adecuado sin un kit de planificación que nos permita percibir antes de la compra las dificultades que nos pueden surgir.
Cuántas veces el hombro queda demasiado profundo con las consiguientes complicaciones en el cementado, o por dejar espacio en oclusal tenemos que cortar tanto el pilar que la parte emergente no es nada retentiva.
Trabajo realizado por la Dra. Berenice Nchaso Bosio
Fuente original: De La Boca







